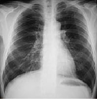
X線撮影検査
一般的にレントゲン検査と呼ばれている検査です。
X線を用いて体内の骨や組織、器官などの構造を平面的に画像化する検査です。
撮影後、FCRというシステムを使用して画像処理されます。
CT検査
CTとは(Computed Tomography:断層撮影)の略称で人体に360°方向からX線をあて、透過したX線をコンピューターで処理し臓器の輪切り像や三次元像などを作成する検査です。
当院ではGE社製マルチスライスCT(Brivo CT385)を導入しています。
X線テレビ透視検査
代表的な検査に消化管造影検査があり、上部消化管造影検査(胃・食道・十二指腸・小腸)と下部消化管造影検査(大腸)の形態、粘膜の病変、他器官の病変による圧迫・通過障害などを診断する検査です。
基本的には、粘膜に付着した造影剤をX線透視装置により写し出す検査です。
リハビリでは、嚥下造影検査にX線透視装置を使用しビデオに動画で記録しています。
骨密度測定
骨密度とは、一定の体積あたりの骨量(骨のミネラル成分の量)のことです。
平成27年度7月より、当院では骨密度測定装置GEヘルスケア製DPX-BRAVOを導入いたしました。
従来は踵(かかと)から超音波で測定する方法でしたが、今後はより精度の高い測定が可能になります。
測定時間は10分~15分程度で痛みはいっさいありません。腰椎、大腿骨部の骨密度を直接測定しております。 これによって骨粗鬆症の予防、診断および治療を行うことができます。





















